New insight into pain mechanisms

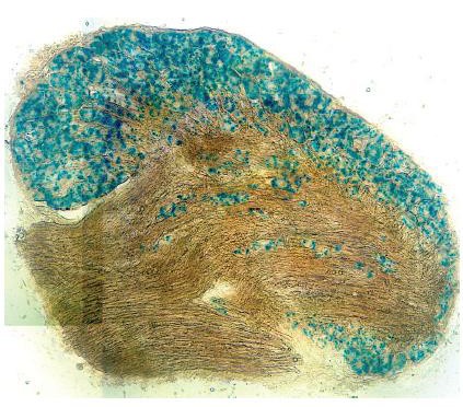
Stained dorsal route ganglion neuron  Credit : John Wood
Stained dorsal route ganglion neuron Credit : John Wood
Researchers in the UCL Wolfson Institute for Biomedical Research have made a discovery which could help the development of analgesic drugs able to treat nerve damage-related pain. The research is published today and funded by the Biotechnology and Biological Sciences Research Council (BBSRC). Current pain-killers work well for some types of pain, but are not very effective for easing the chronic pain associated with nerve damage. This type of pain is called neuropathic pain and it is associated with diseases like diabetic neuropathy or trauma. New findings from Professor John Wood (UCL Wolfson Institute for Biomedical Research) could help change this. They have identified the specific neurons in mice that are important for transmitting particular types of pain and that the transmission of neuropathic pain is dependent on a specific pain-signalling channel called Nav1. Professor Wood and his team studied mice in which Nav1.7 is lost and were able to demonstrate that mice without the Nav 1.7 channel did not suffer from neuropathic pain.
account creation

TO READ THIS ARTICLE, CREATE YOUR ACCOUNT

And extend your reading, free of charge and with no commitment.



Your Benefits

  • Access to all content
  • Receive newsmails for news and jobs
  • Post ads

myScience