What do drugs do to the brain?

What do drugs do to the brain?
What do drugs do to the brain?
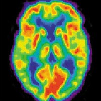
Drug abuse is probably linked to an in-built tendency to act without thinking, as shown by studies of siblings of chronic stimulant users, a leading neuroscientist will claim this week. Drawing on his research, Professor Trevor Robbins will argue that the risk-taking behaviour seen in drug abusers is not, as often thought, the result of drug-induced impaired brain function but instead is a factor that predisposes to drug taking in the first place. Speaking on 19 March at the University of Cambridge Science Festival (www.cam.ac.uk/sciencefestival), the UK's largest free science festival, he will also argue that cognitive-enhancing drugs that boost brain activity may have a place in treating certain diseases or in improving performance in occupations such as shift workers or surgery. "The fact that drugs can produce mind-altering effects through chemical activity has been known for centuries," explained Professor Robbins, who is Director of the Behavioural and Clinical Neuroscience Institute and head of the Department of Experimental Psychology. "But we now understand a great deal about how entire pharmacological classes of drugs exert their influence on the brain, for good and bad, and how our genetic make-up can modulate this activity." Most drugs of abuse target the reward system in the brain. There are literally dozens of brain chemicals called neurotransmitters that modulate the activity of brain cells, and drugs are capable of mimicking or stimulating these pathways.
account creation

TO READ THIS ARTICLE, CREATE YOUR ACCOUNT

And extend your reading, free of charge and with no commitment.



Your Benefits

  • Access to all content
  • Receive newsmails for news and jobs
  • Post ads

myScience