New cell death mechanism has implications for breast cancer treatments

New cell death mechanism has implications for breast cancer treatments
New cell death mechanism has implications for breast cancer treatments
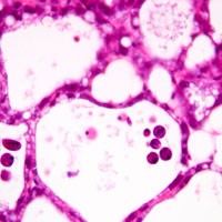
A novel mechanism of cell death that occurs in mammalian organisms has been revealed by researchers at the University of Cambridge. Billions of damaged or superfluous cells die in our bodies every day. It is thought that most cell death occurs by a process called apoptosis, in which biochemical events lead to cell changes and death. However, during the course of Peter Kreuzaler's PhD research at the Department of Pathology, the Cambridge team have shown that cells in the breast die following lactation by a process that involves lysosomes - organelles which digest and recycle cellular components. As the mammary gland regresses, enzymes called cathepsins leak out of the lysosomes into the cell and induce cell death. This is the first time that this type of cell death has been shown to occur in a healthy mammal: the original work was done in vivo in mice. Additionally, the protein Stat3, which is present in high levels in cancers that have poor prognosis, plays a significant role in lysosomal-mediated programmed cell death as it induces high levels of cathepsins while suppressing cathepsin inhibitors.
account creation

TO READ THIS ARTICLE, CREATE YOUR ACCOUNT

And extend your reading, free of charge and with no commitment.



Your Benefits

  • Access to all content
  • Receive newsmails for news and jobs
  • Post ads

myScience