Skin rash predicts survival benefit from latest lung cancer drug

Courtesy of  Cancer Research UK
Courtesy of Cancer Research UK
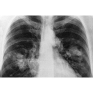
Results from a major phase III Cancer Research UK-funded trial show that elderly patients with advanced non small cell lung cancer (NSCLC) who developed a rash within 28 days of receiving the targeted drug erlotinib (Tarceva) survived on average 6.2 months, compared to 4.1 months for patients who were given a placebo. The study, led by Professor Siow Ming Lee (clinical researcher for Cancer Research UK at the UCL Cancer Institute), is published in the journal Lancet Oncology . For patients who, in addition to developing the painless rash, also carried mutations in the epidermal growth factor receptors (EGFR) on the surface of their cancer cells, the survival time was even greater at 10.4 months. Around eight in 10 cases of this form of lung cancer occur in people aged 60 and over, and the average age of patients in the UK is 72 years. Many of these elderly patients are diagnosed at a late stage and already have other illnesses, meaning they are often too frail to be treated with conventional chemotherapy. This means that palliative care is usually the only option available to them. These trial results show that giving erlotinib to these patients can significantly improve survival, if they develop a rash due to the drug.
account creation

TO READ THIS ARTICLE, CREATE YOUR ACCOUNT

And extend your reading, free of charge and with no commitment.



Your Benefits

  • Access to all content
  • Receive newsmails for news and jobs
  • Post ads

myScience