Scans reveal differences in brain structure in teenagers with conduct disorder

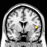
MRI brain scan highlights the insula, one of the areas of the brain that is redu
MRI brain scan highlights the insula, one of the areas of the brain that is reduced in volume in subjects with Conduct Disorder.
Brain scans of aggressive and antisocial teenage boys with conduct disorder (CD) have revealed differences in the structure of the developing brain that could link to their behaviour problems. The study, by neuroscientists at the University of Cambridge and the MRC Cognition and Brain Sciences Unit, reveals that the brain differences were present regardless of the age of onset of the disorder, challenging the view that adolescence-onset CD is merely a consequence of imitating badly behaved peers. The new research was funded jointly by the Wellcome Trust and the Medical Research Council. CD is a psychiatric condition characterised by increased aggressive and antisocial behaviour. It can develop in childhood or in adolescence and affects around five out of every 100 teenagers in the UK. Those affected are at greater risk of developing further mental and physical health problems in adulthood. The neuroscientists used magnetic resonance imaging to measure the size of particular regions in the brains of 65 teenage boys with CD compared with 27 teenage boys who did not display symptoms of behavioural disorder.
account creation

TO READ THIS ARTICLE, CREATE YOUR ACCOUNT

And extend your reading, free of charge and with no commitment.



Your Benefits

  • Access to all content
  • Receive newsmails for news and jobs
  • Post ads

myScience